Παρ’ ολίγον τραγωδία στη Θεσσαλονίκη – Ανήλικη κατάπιε καρφίτσα – Πώς σώθηκε (pics)

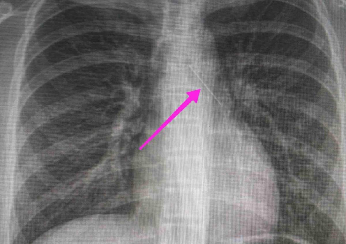
Η καρφίτσα της είχε σταθεί στον δεξιό βρόχγο

Παρ’ ολίγον τραγωδία στη Θεσσαλονίκη – Ανήλικη κατάπιε καρφίτσα – Πώς σώθηκε (pics)

Θεσσαλονίκη: Με μια καρφίτσα σφηνωμένη στον δεξιό βρόχγο μεταφέρθηκε την Κυριακή από τους γονείς της στο Ιπποκράτειο Νοσοκομείο Θεσσαλονίκης.

Το παιδί έσωσαν οι γιατροί του νοσοκομείου, όπως αναφέρεται σε σχετική ανακοίνωση.

ΔΙΑΦΗΜΙΣΗ
Θεσσαλονίκη: Η ανακοίνωση του νοσοκομείου για το περιστατικό

Όπως αναφέρεται στην ανάρτηση του νοσοκομείου, “χθες 30/1/2022 στις 16:00 στο Τ.Ε.Π. του ΓΝΘ Ιπποκράτειο, προσήλθε ανήλικη συνοδευόμενη από τους γονείς της, μετά από αναφερόμενη κατάποση ξένου σώματος (καρφίτσα). Από την απεικονιστική διερεύνηση που πραγματοποιήθηκε με ακτινογραφία θώρακος αρχικά και ακολούθως με αξονική τομογραφία θώρακος, διαπιστώθηκε η ύπαρξη αιχμηρού μεταλλικού ξένου σώματος στην αναπνευστική οδό (αριστερός κύριος βρόγχος) και όχι στην πεπτική οδό.

Πραγματοποιήθηκε πλήρης προεγχειρητικός έλεγχος και RAPID PCR (COVID-19), και μετά την λήψη συγκατάθεσης των γονέων που συνόδευαν την ασθενή, οδηγήθηκε στη χειρουργική αίθουσα. Μετά από την χορήγηση γενικής αναισθησίας από την ιατρό Αναισθησιολόγο, Διευθύντρια κα Μαρία Μυλωνά (για την διεκπεραίωση του ιδιαίτερου αυτού περιστατικού) υποβλήθηκε σε βρογχοσκόπηση με άκαμπτο βρογχοσκόπιο από τους Ιατρούς Ω.Ρ.Λ., Καρασμάνη Ηλία και Μαγγανάρη Αργύρη, Επιμ Α’ της ΩΡΛ Κλινικής του Γ.Ν.Θ. «Ιπποκράτειο».

Κατά την βρογχοσκόπηση διαπιστώθηκε η μετακίνηση και ενσφήνωση του ξένου σώματος στον δεξιό κύριο βρόγχο. Μετά οπό εργώδεις προσπάθειες ολοκληρώθηκε με επιτυχία η αφαίρεση αυτού. Η ασθενής ανένηψε πλήρως εντός της χειρουργικής αίθουσας. Η ασθενής μεταφέρθηκε για παρακολούθηση και νοσηλεία στη Γ’ Παιδιατρική Κλινική.

Η Διοίκηση του Νοσοκομείου ευχαριστεί το σύνολο των εργαζομένων οι οποίοι συμμετείχαν στην επιτυχή έκβαση της περιπέτειας της ασθενούς”.

Ειδήσεις σήμερα:

Απαράδεκτες εικόνες σε πλοίο από Σκόπελο για Βόλο – Ταξίδεψε για 5 ώρες κλειδωμένη στην παγωμένη τουαλέτα λόγω του σκύλου της (pic)

ΔΙΑΦΗΜΙΣΗ

Η συνέντευξη του Πάνου Νάτση που δεν προβλήθηκε ποτέ – Τι έλεγε για τον κορονοϊό, την κριτική και τις σχέσεις (vid)

Αυτός είναι ο ληστής των ΕΛΤΑ – Βρέθηκε το μηχανάκι και το καλάσνικοφ – “Μην φοβάστε, δεν θα σας πειράξω”(pics&vid)

ΔΙΑΦΗΜΙΣΗ
Προσθήκη ως προτεινόμενη
πηγή στην Google
ΔΙΑΦΗΜΙΣΗ